cropped-uc-concentrika.pnglogo-concentrika-blanco

Concéntrika Medios

  • Publicaciones
    • Opinión
    • Cultura
    • Tendencias
    • Territorio
    • Deportes
    • Literatura
    • Tecnologí­a
  • ECEP
    • Publicidad
    • Comunicación Social y Periodismo
    • Diseño de Experiencias Interactivas
  • Sobre Concéntrika
    • Podcast
      • Concéntrika Al Oído, el programa sonoro de la ECEP
      • Nativos Musicales (Podcast)
      • El Laboratorio
      • Amor de Millennials (podcast)
    • Actividades
      • Semana de la Comunicación Estratégica y la Publicidad
      • Cátedra Kapuscinsky
      • Open Class
      • Magazine RH

Inicio » EstadosUnidos

Posts tagged: EstadosUnidos

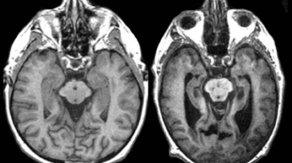
alzheimer-y-concentrika

Alzheimer, retos y progresos para encontrar la cura

by Concéntrika Medios SaludTendencias

Durante muchos años, los científicos han venido trabajando en el tratamiento para el Alzheimer, bus ...

Biden-y-concentrika

Tapando el sol con un solo dedo, proyecto Willow

by Concéntrika Medios Tendencias

Joe Biden, el presidente de Estados Unidos, recientemente aprobó el proyecto Willow, el cual será d ...

Del Archivo

INSTAGRAM

demo-attachment-2696-Dot_Pattern-1

Participa en Concéntrika Medios

Si quieres publicar en nuestro portal, envía tus contribuciones al correo concentrikamedios@ucentral.edu.co

O Visítanos en:
Edificio San Carlos Calle 23 # 4A-64
Tel: 601 3239868 - Ext. 4060

logo-concentrika-blancologo-concentrika-blanco

Concéntrika Medios

demo-attachment-184-White-Dot-Pattern-Footer

Escuela de Comunicación Estratégica y Publicidad

  • Publicidad
  • Comunicación Social y Periodismo
  • Diseño de Experiencias Interactivas

Nuestras Redes

© 2026. Todos los derechos reservados
Shopping Basket