Durante muchos años, los científicos han venido trabajando en el tratamiento para el Alzheimer, buscando por medio de la ciencia retrasar el efecto de deterioro de la enfermedad. Hasta hace un tiempo, solo se habían podido fabricar medicamentos que tratan los síntomas y, ahora, se abre la posibilidad de administrar a los pacientes dos medicamentos prometedores que brindan la oportunidad de seguir investigando hasta que finalmente se encuentre la medicina que ralentice la lesión cognitiva producida por la patología.
Por: Liliana Villegas
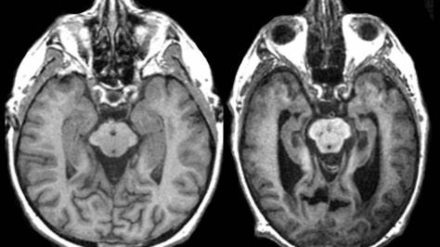
En primer lugar debemos entender qué es el Alzheimer, es un trastorno cerebral que afecta la memoria principalmente, el pensamiento y el llevar a cabo tareas sencillas de la cotidianidad; no es un proceso que se da en la vejez sino que es un daño complejo que causa grandes cambios en el cerebro de quienes padecen esta enfermedad. Estas alteraciones aparecen mucho antes de que se presenten los primeros síntomas y se estima que cerca de seis millones de personas en los Estados Unidos viven con este trastorno.
En los recientes estudios se encontró que el medicamento Lecanemab, aprobado en Estados Unidos por la Administración de Alimentos y Medicamentos (FDA), es un posible principio activo que disminuyó la degeneración cognitiva en los pacientes que tomaron el fármaco durante un período de dieciocho meses, teniendo la capacidad de eliminar la proteína beta amiloide en la formación de placas que son las causantes del Alzheimer; en un ensayo clínico reciente se demostró su efectividad en un 27% financiado por dos farmacéuticos importantes: Biogen y Eisai.
Pese a los efectos notables de mejoría en estos ensayos, los científicos están investigando sus efectos secundarios y comparan los beneficios con las reacciones adversas. En medio de las pruebas se evidenciaron tres casos de fallecimiento, por lo que se están analizando las variables que llevaron a los decesos de los pacientes; dos primeros casos que eran pacientes anticoagulados que sufrieron una hemorragia cerebral y un tercer caso que hasta el momento no mostraba preexistencias de enfermedades crónicas o asociadas a la hemoptisis.
En junio de 2023 se esperan los resultados del medicamento Donanemab desarrollado por el laboratorio Lilly, el cual promete mejores respuestas en el organismo; por otra parte, se adelantan estudios para crear medicamentos que contrarresten otra proteína involucrada en el desarrollo de la patología, la cual recibe el nombre ‘tau’, causante de la demencia y la neurodegeneración, ya que en los últimos análisis se descubrió que, junto con la beta amiloide, son los principales prótidos que generan la enfermedad. Se prevé la administración de estos fármacos en etapas primarias antes del surgimiento de los síntomas, para así tener mayor eficacia.
Estos medicamentos se encuentran en fase de desarrollo, pero se espera que sean el inicio de grandes avances en materia de prevención y retroceso de la enfermedad, ya que aproximadamente la ciencia lleva veinte años tratando de encontrar la cura al Alzheimer y es un evento trascendental medicamentos como: El Lecanemab y el Donanemab, siendo el auge a nuevas investigaciones y nuevos tratamientos cada vez más especializados.




